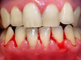
When you brush your teeth, you may notice some blood in the toothpaste when you spit or see some blood in your mouth after you brush your teeth. This is a very common issue that many people face. While it might be caused by simply having a heavy hand, it can also be an indication of gum disease which needs to be taken seriously. Read on to learn more about common causes of bleeding gums
Common Causes of Bleeding Gums

There are many reasons why your gums might be bleeding when you brush your teeth. If you have a heavy hand or use the wrong technique, you can irritate the gums which can cause minor bleeding which should stop quickly. However, there are more serious conditions such as periodontitis (AKA gum disease) which can cause more extreme bleeding and run the risk of tooth loss as well as some invisible health conditions that might be causing the bleeding. No matter the potential cause, if you see blood when you spit out your toothpaste, seeing a dentist for a checkup is a good idea.
Poor Oral Hygiene
Inadequate brushing and flossing can lead to plaque buildup. Plaque can cause your gums to bleed as it irritates the delicate tissues. Using a plaque remover for teeth can help to remove a buildup of plaque and reduce the risk of your gums bleeding.
Gingivitis and Periodontitis
If you don’t treat the buildup of plaque at the gum line, you can develop gingivitis or periodontitis. Gingivitis is an inflammation of the gum line. Gums become swollen and tender and bleed during brushing or flossing. If not treated, gingivitis can lead to periodontitis (also known as gum disease), a much more serious inflammation, and one of the main causes of tooth loss in adults.
Brushing Techniques
Brushing your teeth is important but did you know that your technique can cause bleeding too? Your gums can bleed if you use a toothbrush with too-hard bristles, brush too hard, or too aggressively. Using electric toothbrushes such as Swissklip’s Extra Soft Nano Toothbrush can help you brush your teeth with less effort while still yielding excellent results.
Other Contributing Factors
There are some other contributing factors that can cause bleeding gums such as hormonal changes, vitamin deficiencies, and certain medications. Additionally, some health conditions such as diabetes can also make your gum more prone to bleeding. If your dentist can’t find a reason behind your bleeding gums, speak to your healthcare provider.
Preventing and Treating Bleeding Gums

Proper Oral Hygiene Practices
Taking care of your teeth is the best preventative way to protect your gums from bleeding during brushing.
- Brush your teeth with a toothpaste gel twice daily for a minimum time of 2 minutes – 1 minute for the top teeth, 1 minute for the bottom teeth. Don’t use too much pressure and brush in a circular motion, both the front and back sides of your teeth as well as the tops.
- Choose a toothbrush with bristles that aren’t too hard to avoid damaging your gums.
- When you spit your toothpaste, avoid rinsing your mouth with water to make sure the active ingredients stay on your teeth for as long as possible. Instead, rinse with organic mouthwash to freshen your breath and ensure the effective ingredients work properly.
- Floss once daily to help remove food particles from between your teeth which will prevent plaque buildup and stop bad breath.
Regular Dental Checkups
Your dentist will check the health of your teeth and will be able to clean your teeth professionally as well as spot any early cavities or issues so it’s important to attend regular dental check ups.
Lifestyle Changes
Making changes to your lifestyle and diet can help to improve the health of your gums and therefore reduce bleeding when brushing. Reducing sugar intake and eating vitamin rich foods alongside limiting alcohol consumption and reducing tobacco use are good ways to strengthen gums.
When to see a professional
If you notice the condition of your gums worsening or notice your teeth feel loose or your gums have begun to recede, make sure you reach out to your dentist for advice and treatment.
Conclusion

Having a bright white, healthy smile is very important to many people and gum health plays a huge part in the health of your teeth. Maintaining good oral hygiene is imperative to preventing gum bleeding. If you’ve noticed bleeding when you brush your teeth, it could be due to a minor cause such as brushing too aggressively, however, it can also be a symptom of something more serious as is worth seeing a dentist to ensure you don’t have gum disease or gingivitis.
Check out Swissklip’s range of oral care products to keep your mouth and teeth looking and feeling happy and healthy.































